痛みへの配慮・安全性へのこだわり
選択肢として納得するインプラント治療を
27年を超える経験と技術で
あなたのお口の
健康を考えます
-
日本口腔外科学会
専門医在籍 -
インプラント累計埋入本数
1,000本超え -
初回のご相談
無料 -
他院で断られた
難症例も対応可能

痛みへの配慮・安全性へのこだわり
27年を超える経験と技術で
あなたのお口の
健康を考えます


一人で悩む前に、まずはお気軽に
無料相談会へお越しください。
小さな心配事も、私たちにとっては
大切なご相談です。
じっくり時間を使ってお話しします。
ご予約・ご相談はこちらから
電話から予約をしたい方はこちら
WEBから予約をしたい方はこちら

重度の虫歯により健康な歯質が失われると、土台として機能しなくなります。虫歯を除去した後、残った歯が噛む力に耐えられないと判断された場合、虫歯菌の温床となるため抜歯が必要です。

歯を失う最大の原因は歯周病です。歯茎の腫れから始まり、最終的に骨を溶かすこの病気は、すべての治療の成否を左右します。インプラント治療においても、家の基礎と同様、事前に完治させることが必須条件です。

不適切な詰め物や被せ物、顎と歯のサイズの不調和などにより、噛み合わせに問題が生じることがあります。痛みだけでなく、過度な力で歯が破折したり、局所的に骨が溶けて歯が抜けるリスクもあります。
前歯じゃないし、
あまり目立たない場所だから、
抜けたままでもいいか…

そのうち
なんとかすれば
いいか…

噛み合わせが
悪化する

周囲の歯や顎へ負担が
かかり
さらに歯が抜ける

咀嚼力が低下する

認知症リスクが上がる

歯茎が痩せる
歯を失う理由はさまざまです。
「歯周病になってしまった」
「事故にあってしまった」
どんな理由であろうと、
放置することはやめましょう。
当院は歯を失った際の
選択肢の1つとして、インプラント治療を
推奨いたします。
歯が抜けたままで、Before

After

| 治療期間 | 1年半 |
| 費用 | 月々4,900円(税込) |
| リスク | 痛みを伴う場合がある |
Before

After

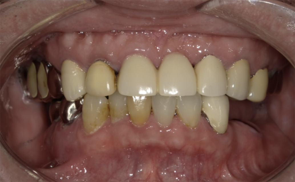
数年前に奥歯を失ってしまい、そのまま放置していたため、反対側の歯だけで噛む習慣がついてしまったとのこと。また、残っている歯にも金属の詰め物や被せ物が多く入っており、口を開けたときに目立つことを気にされていました。「このままだと他の歯にも負担がかかるのでは」という不安から、当院にご相談いただきました。
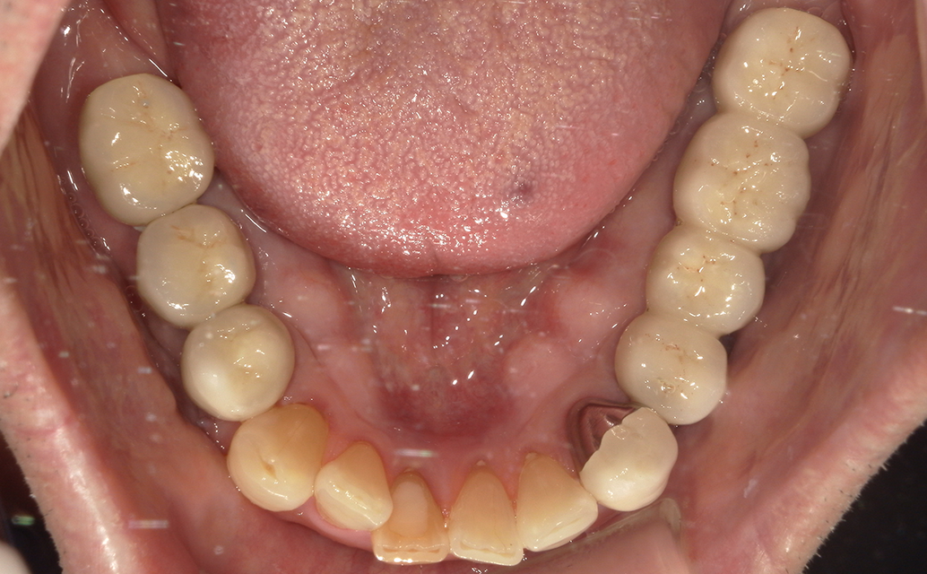
インプラント治療により、欠損部が機能的に回復しました。患者様からは「両側でしっかり噛めるようになり、食事が楽しくなった」「口元を気にせず話せるようになった」とお喜びの声をいただいています。定期的なメンテナンスを継続していただくことで、長期的に安定した状態を維持できると考えております。
奥歯が抜けてから、反対側ばかりで噛むように...Before

After

| 治療期間 | 1年半 |
| 費用 | 月々4,900円(税込) |
| リスク | 痛みを伴う場合がある |
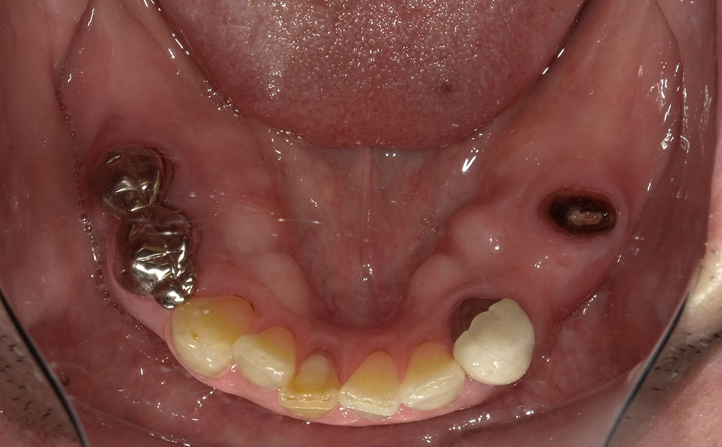
数年前に虫歯で奥歯を失ってから、そのまま放置してしまったそうです。「最初は反対側で噛めば問題ないと思っていた」とのことでしたが、徐々に片側だけで噛む癖がついてしまい、食事中に顎が疲れやすくなったり、好きだったステーキやナッツ類を避けるようになったりと、生活の質が少しずつ下がっていることに気づかれました。「このままでは残りの歯にも負担がかかるのでは?」という不安と、「もう一度何でも美味しく食べたい」という思いから、インプラント治療を決意されました。
治療完了から、定期メンテナンスでお会いした際に、患者様からこんな言葉をいただきました。「もっと早く治療していればよかった。食事の楽しさを取り戻せました」現在は定期メンテナンスで、インプラントと他の歯の健康を守りながら、快適な食生活を続けていらっしゃいます。

当院では、インプラントありきではなく、お口全体と患者様の生活を考えた最適な治療をご提案します。例えば、奥歯1本の欠損でも歯並びや噛み合わせに問題がある場合、インプラントより矯正治療の方が長期的なメリットが大きいケースもあります。精密な検査結果に基づき、一人ひとりに最適なプランをご用意いたします。


怒ることも決してありません。
当院ならその歯を美しく、
悩みを無くす技術力を持っています。
ご予約・ご相談はこちらから
電話から予約をしたい方はこちら
WEBから予約をしたい方はこちら




虫歯や歯周病、事故で失った歯を、顎骨に埋め込んだ人工歯根で補うのがインプラント治療です。1965年から半世紀以上の実績を持ち、現在では高い信頼性が確立されています。入れ歯やブリッジと比べ異物感が少なく、取り外しの手間もなく、天然歯のようにしっかり噛める治療法です。
![]() インプラント |
![]() 義歯 |
![]() ブリッジ |
|
|---|---|---|---|
| 隣り合った 歯のダメージ |
◎ | ◯ | × |
| 噛む力 | ◎ | △ | ◯ |
| 違和感 | ◎ | × | ◯ |
| 治療期間 | × | △ | ◎ |
| 外科的なダメージ | × | ◯ | ◯ |
| 治療費 | × | ◯ | ◯ |
悩んではいるけど、
どうしたらいいかわからない方

他院で「骨が少ないから、
インプラントはできない」と
言われた
入れ歯が合わないから
なんとかしたい
手術が怖い、
痛みが不安


サイナスリフト
上顎の中には上顎洞という空洞があり、これが大きいと、インプラントを埋入する骨の厚みが確保できないことがあります。サイナスリフトは上顎洞に骨に似た成分の材料を補填し、上顎骨に厚みを持たせる手術です。

ソケットリフト
上顎にインプラントをする一部分だけの骨を増やしたい場合、インプラント用の穴に補填剤を詰め、上顎洞を押し上げるようにインプラントを埋入することで骨の厚みを作り出すことができます。

骨補填
骨の量が不足している部分に、骨補填材を使用して骨を増やす治療法です。人工骨や自家骨などの材料を用いて、インプラントを埋入するために必要な骨の厚みや高さを確保します。比較的軽度な骨不足のケースに適応されます。

顎堤形成術
歯を失った後に痩せてしまった顎の骨を再建する治療法です。骨移植や骨補填材を用いて、顎堤(歯槽骨)の高さや幅を回復させます。入れ歯が安定しない方や、広範囲にわたる骨不足がある方のインプラント治療を可能にする手術です。

入れ歯以外の選択肢としてのインプラント
インプラントオーバーデンチャーは、2〜4本のインプラントで入れ歯を固定する治療法です。
すべてをインプラントにする必要がないため費用を抑えつつ、従来の「ズレる」「外れる」「痛い」といった悩みを解消。
しっかり噛めて快適な食事と会話が楽しめ、長期的にお口の健康を保てます。
1しっかり噛める!
インプラントでしっかりと固定するので、ズレたりはずれたりすることがありません。安定しているので不安なくお食事ができます。
2お口がスッキリ快適!
すき間がほとんどなく、食べ物が挟まりにくい設計です。入れ歯が動かないので、自分の歯で噛んでいる感覚があり、会話もスムーズです。
3インプラント治療よりも安い!
総入れ歯が必要な状態でも4~8本を埋め込むだけ。現在使っている入れ歯を利用できる場合もあり、費用を大幅に抑えられます。
4お手入れが簡単!
取り外して毎日お手入れができます。インプラントの数が少ないため、高齢の方も介護者の方も安全に簡単にケアできます。
恐怖やストレスを軽減する治療法
笑気吸入鎮静法は、無痛分娩にも用いられる安全性の高い治療法です。
低濃度の笑気と高濃度酸素を鼻から吸入し、ウトウトとリラックスした状態で治療を受けられます。
体が温かくなる感覚や心地よいほろ酔い気分など感じ方は様々ですが、
「あっという間に終わった」という声が多く聞かれます。


治療をするかわからないけど、
インプラント治療について詳しく知りたい!
そんな方のご来院も大歓迎です。
ご予約・ご相談はこちらから
電話から予約をしたい方はこちら
WEBから予約をしたい方はこちら
歯科医師全体の
わずか1%しかいない
インプラント治療は外科手術を伴うため、高度な専門知識と技術が求められます。当院には日本口腔外科学会専門医が在籍しており、骨の状態や神経の位置を正確に把握した上で、安全性の高い治療を行います。抜歯やインプラント埋入はもちろん、骨造成などの難しい処置にも対応できる技術力で、患者様に安心していただける治療をご提供いたします。
研鑽した
技術力
1997年の開院以来、27年を超える歴史の中で培ってきた経験と技術があります。これまでに1,000本を超えるインプラント埋入実績を持ち、様々な症例に対応してきました。長年の経験から得た知見を活かし、一人ひとりのお口の状態に合わせた最適な治療計画をご提案。確かな技術力で、長期的に安定したインプラント治療を実現いたします。
治療チェア
19台
当院は北関東でも有数の規模を誇る総合歯科医院です。インプラント治療だけでなく、歯周病治療、矯正治療、審美治療など、あらゆる歯科治療を院内で完結できる体制を整えています。インプラント治療の成功には、お口全体の健康が不可欠です。総合的な視点から治療計画を立てることで、長期的に安定した結果をお約束いたします。
セカンド
オピニオン
OK
「骨が少ないからインプラントはできない」と他院で断られた方も、諦める必要はありません。当院では、サイナスリフトやソケットリフト、骨補填、顎堤形成術など、骨を増やす治療法を取り揃えています。口腔外科専門医の豊富な経験と高度な技術により、難しいとされる症例にも対応可能です。まずは無料相談で、あなたに最適な治療法をご提案させていただきます。



インプラント総額
453,000円(税込)
デンタルローンのご利用で
インプラントオーバーデンチャー
1,845,000円(税込)
デンタルローンのご利用で

安心の5年保証付き
治療完了から5年間は、メインテナンス間隔が6ヶ月を超えないことを条件とし、治療が必要になった場合、これにかかる費用は頂きません。
5年以内でもメインテナンス間隔が一度でも6ヶ月を超えた場合と5年経過以降は治療費が発生します。

デンタルローンにも対応!
デンタルローンによる分割払いをご用意しておりますので、月々のお支払い金額を少額で治療を行うことが可能です。詳しくは、お気軽にスタッフまでご相談ください。

医療費控除を申請すれば税金も安くなります
医療費控除とは、1年間で支払った医療費の合計が10万円を超えた時に、その医療費を基に計算した金額分の「所得控除」を受けることができる制度です。

01初診相談
初回の診察で治療内容や期間、費用について詳しく説明します。
02精密検査
CTスキャンやレントゲンで顎の骨の状態を確認します。
03治療計画
検査結果をもとに治療計画を立て説明します。
04手術
局所麻酔でインプラントを顎の骨に埋め込みます。
05上部構造装
インプラントが骨と結合した後、人工歯を装着します。
06メインテナンス
治療後は定期的なメンテナンスが必要です。




手術中は局所麻酔を使用するため、痛みを感じることはほとんどありません。麻酔が効いている間は歯を削るときと同じような感覚です。術後は多少の腫れや痛みが出ることがありますが、処方する痛み止めでコントロール可能です。ほとんどの患者様が「思っていたより痛くなかった」とおっしゃっています。痛みに不安がある方には、事前に詳しくご説明いたしますので、お気軽にご相談ください。
治療期間は骨の状態や治療部位により異なりますが、一般的には3〜6ヶ月程度です。インプラントを埋入してから骨としっかり結合するまで、下顎で約3ヶ月、上顎で約4〜6ヶ月の期間が必要です。その後、最終的な被せ物を作製・装着します。骨を増やす処置が必要な場合は、さらに数ヶ月かかることもあります。初診時の検査結果をもとに、患者様お一人おひとりに最適な治療計画と期間をご提案いたします。
適切なメンテナンスを行えば、インプラントは10年、20年と長期にわたって使用できます。実際、海外の研究では10年生存率が90%以上という報告もあります。ただし、インプラントを長持ちさせるには定期的なメンテナンスが不可欠です。3〜6ヶ月ごとの定期検診で、インプラント周囲の清掃や咬み合わせのチェックを行います。また、ご自宅での丁寧なブラッシングも重要です。当院では治療後のサポート体制も充実しておりますので、安心してお任せください。
糖尿病や高血圧などの全身疾患をお持ちの方でも、病状がコントロールされていればインプラント治療は可能です。ただし、血糖値が非常に高い状態や血圧が不安定な場合は、治療のリスクが高まるため、まずは内科の主治医と連携して病状を安定させることが必要です。治療前には必ず全身状態を詳しくお伺いし、必要に応じて主治医への確認や血液検査を行います。患者様の安全を第一に考えた治療計画を立てますので、まずはご相談ください。
手術当日は安静を心がけてください。入浴はシャワー程度にし、飲酒・喫煙・激しい運動は控えましょう。食事は麻酔が切れてから、手術していない側で柔らかいものを召し上がってください。処方されたお薬は必ず飲み切ってください。多少の腫れや出血は通常の反応ですが、気になることがあればいつでもご連絡ください。翌日以降の注意点や、いつから通常の食事に戻せるかなども、手術前に丁寧にご説明いたします。不明な点があれば、遠慮なくお尋ねください。術後のフォロー体制も万全です。

ヒデ歯科 院⻑佐藤 秀雄
私が考える歯科治療は、ただ目の前の疾患のみを治療するものではありません。お口は毎日のお食事やおしゃべりで使うものであり、皆様の生活に密接に関わっています。それだけお口の疾患は、普段の生活に大きな影響を与えますし、またその疾患の原因自体が普段の生活の中にあるということが数多くあります。
ですから、治療前には患者様と様々なお話をさせていただき、しっかりと疾患の原因を見極めることで疾患部分のみの歯科治療ではなく、患者様が治療後も安心して生活を送ることができるよう日々の診療に努めています。
口の中を見ることが歯科医師の仕事ですが、私はさらに皆様の表情までを見るように心がけております。
初めてご来院いただいた患者様の不安そうな表情。聞きたいことがあるのに聞けずにいる患者様の表情。一人ひとりの患者様の表情をしっかりと拝見し、少しでも笑顔になって帰っていただきたいと考えています。