妥協しない。だから美しく仕上がる
正しい歯列矯正を
一生に一度の矯正治療は当院にお任せ下さい
- 矯正専門医
在籍 - 27年を超える
治療実績 - 初回の矯正相談
無料 - 北関東最大規模の
総合歯科


ゴフウフデハニヨイ
048-522-8241
妥協しない。だから美しく仕上がる
正しい歯列矯正を
一生に一度の矯正治療は当院にお任せ下さい

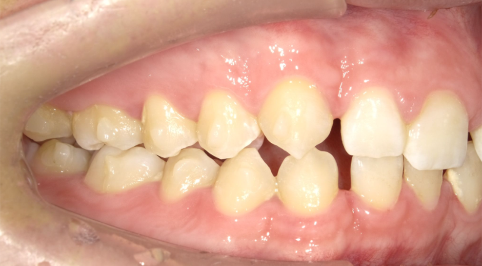
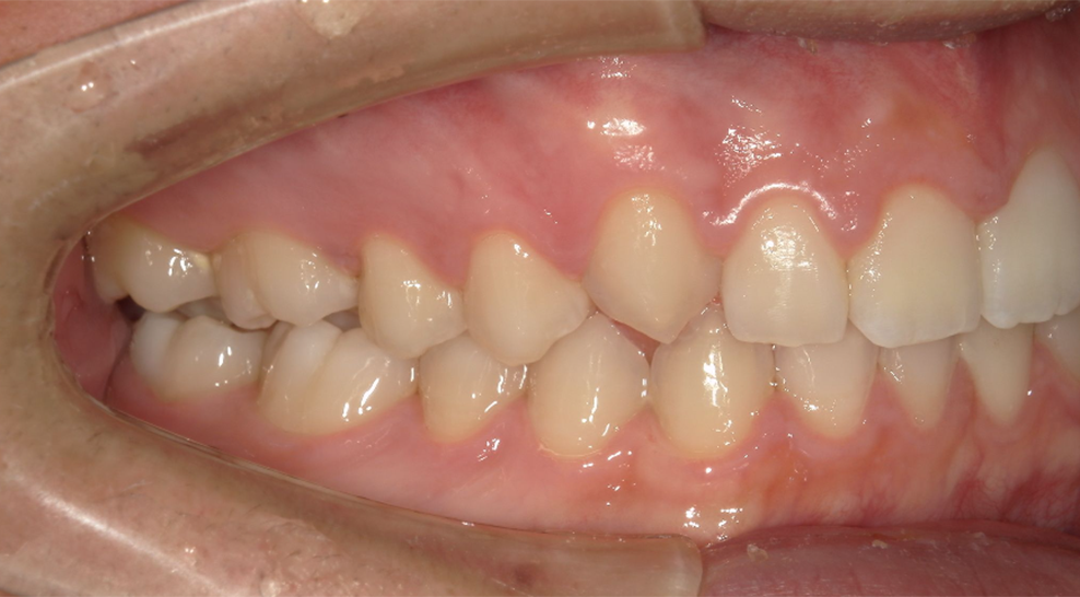
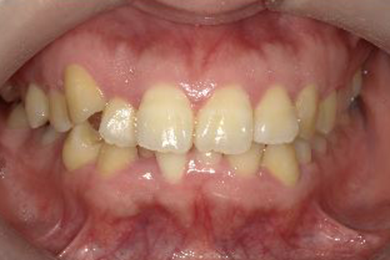
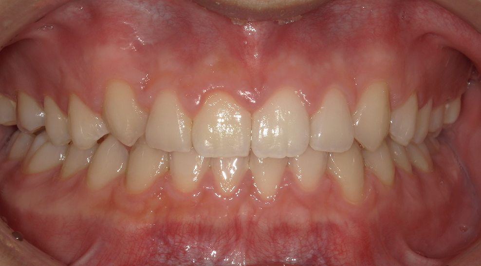
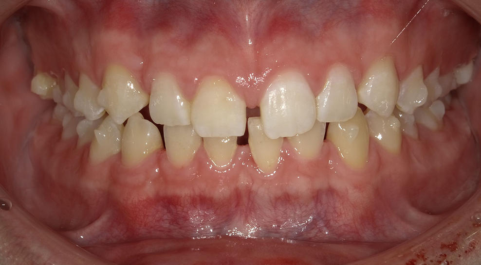
Before
After
どんな歯並びのお悩みでも、ここまで綺麗になれます!
主訴
上下前歯のガタつき
治療期間
2年半
費用
月々12,700円
リスク
痛みを伴う場合がある
来院不要・写真を送るだけ!

01
当院の公式LINEを追加してください。
02
03

1奥歯でしっかり噛んで正面から
上下の前歯が写るように撮影

2気になるところを撮影



ある専門機関が調査した結果…


Q良い歯並びは一生で
いくらの価値があるのか?
A259万円
良い歯並びに対して生涯で支払ってもよいと考える金額の平均値です。
つまり、
歯並びの改善は、
その治療費以上の価値がある投資と
考える人が増えていると考えられます。

まずは当院の症例をご覧ください。
結果にこだわるからこそ、
こんなに綺麗になります!

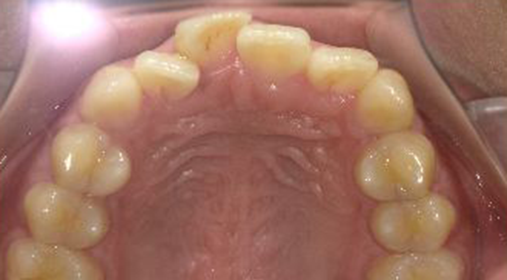
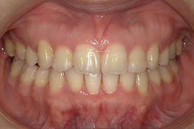
Before
After
| 治療期間 | 1年5ヶ月 |
|---|---|
| 費用 | 月々12,700円 |
| リスク | 痛みを伴う場合がある |


こちらは、治療前後の横から見た歯の写真です。前歯のすきっ歯だけではなく、歯全体の噛み合わせまでも考慮した上で当院では治療を行います。上と下の歯が正しく噛み合うことで、噛む力が正しく伝わり口や顎、さらには全身の健康にも繋がります。

Before
After
| 治療期間 | 2年4ヶ月 |
|---|---|
| 費用 | 月々12,700円 |
| リスク | 痛みを伴う場合がある |


こちらは、治療前後の上の歯の写真です。元々適切に並んでいなかった歯並びが、正常の位置に戻り、美しく仕上げることができました。正常な歯の位置に矯正することで、見た目の審美性が改善され、歯並びを気にせず思いっきり笑うことができるようになったとのことです。


矯正専門医を中心とした専門チームが、マウスピース型矯正を希望されるすべての患者様に対し、
セファロ分析を用いた科学的な診査診断を実施。
0.1ミリ単位の精密なコンピュータシミュレーションで、お一人おひとりに最適な治療計画を設計します。
科学的根拠に基づく綿密な診断だからこそ、安全性が高く、効率的で、
治療期間の短縮も実現できる矯正治療をご提供できます。
矯正を検討している方だから伝えておきたい…


矯正治療は、歯科医師であれば
誰でも行うことができます。
そのため、今では多くのクリニックで矯正治療を
受けることができるようになりました。
しかし、その裏で深刻な問題も増えています。

このような声が後を絶たず、
実際に矯正治療のやり直しを求めて
当院に来られる患者様が数多くいらっしゃいます。
中には、取り返しのつかない状態に
なってしまったケースも…
なぜこのようなことが起こるのでしょうか?
矯正治療は、高度な専門知識と
職人的な技術が求められる、
非常に難易度の高い治療です。
そのため、歯科医師ごとの経験や
技術力の差が、治療結果に大きく影響します。
安易にクリニックを選んでしまうと、
一生後悔することになりかねません。

歯並びはもちろん、
噛み合わせなどの健康面も含めた
矯正治療を提供いたします。
セカンドオピニオンも承っております
お悩みに合わせて選べるつのプラン
インビザラインフル880,000円(税込)
デンタルローンのご利用で
月々12,700円(税込)
インビザラインライト550,000円(税込)
デンタルローンのご利用で
月々5,000円(税込)
矯正治療を、もっと身近な選択肢に
無料
初診・相談費用
無料
歯型スキャン・
シミュレーション
無料
調整・保定費用

医療費控除とは、1年間で支払った
医療費の合計が10万円を超えた時に、
その医療費を基に計算した金額分の
「所得控除」を受けることができる制度です。
つの理由

10万人の歯科医師の中でわずか3,000人しかいない日本矯正歯科学会認定医が在籍。専門知識と豊富な経験を持つ認定医が、見た目の美しさだけでなく噛み合わせなどの機能面も考慮した、質の高い矯正治療をご提供します。幅広い症例に対応できる確かな技術力で、理想の歯並びを実現いたします。
その場で
治療後が
わかる
口腔内3Dスキャナー(iTero)により、精密・正確なデジタルの歯型データを取得。マウスピースの精度が向上するだけでなく、治療前後のシミュレーションをその場でご確認いただけます。「本当にこんなに綺麗になるの?」という不安を解消し、納得した上で治療を開始できます。
他院で
断られた方も
相談OK
「歯並びが悪すぎて無理かも」「抜歯が必要と言われた」そんな不安をお持ちの方も諦めないでください。27年を超える治療実績の中で培った技術と経験により、難しいとされる症例にも対応可能です。まずは無料相談で、あなたに最適な治療法をご提案いたします。
他院への
転院不要
矯正治療中に虫歯が見つかった、親知らずを抜く必要がある―そんな時も他院に通う必要はありません。口腔外科をはじめ多くの分野の専門医が在籍しているため、あらゆる治療を院内で完結できます。矯正以外のお悩みも、まとめてご相談ください。
01
マウスピース型矯正の無料相談を実施。
治療方針や費用・期間など、お気軽にご相談ください。
02
口腔内スキャナー(iTero)を用いた歯の型取りなど、口腔内検査を始めとする各種検査を行います。
03
治療前後の歯の移動を3Dシミュレーションで確認後、問題なければマウスピースを発注します。
04
約3週間ほどでマウスピースが全て届きますので、2週間毎に患者様ご自身でマウスピースを取り替えていきます。
05
矯正終了後、歯並びのチェックを行います。問題なければ後戻りを防ぐ保定装置(リテーナー)を装着します。
06
矯正終了後も定期メインテナンスで歯並びはもちろん、虫歯などのお口の健康状態も確認します。


ドクター紹介
私が考える歯科治療は、ただ目の前の疾患のみを治療するものではありません。お口は毎日のお食事やおしゃべりで使うものであり、皆様の生活に密接に関わっています。それだけお口の疾患は、普段の生活に大きな影響を与えますし、またその疾患の原因自体が普段の生活の中にあるということが数多くあります。ですから、治療前には患者様と様々なお話をさせていただき、しっかりと疾患の原因を見極めることで疾患部分のみの歯科治療ではなく、患者様が治療後も安心して生活を送ることができるよう日々の診療に努めています。
口の中を見ることが歯科医師の仕事ですが、私はさらに皆様の表情までを見るように心がけております。初めてご来院いただいた患者様の不安そうな表情。聞きたいことがあるのに聞けずにいる患者様の表情。一人ひとりの患者様の表情をしっかりと拝見し、少しでも笑顔になって帰っていただきたいと考えています。